ارتودنسی شکاف لب و کام
شایعترین عارضه بدو تولد فک و صورت، شکاف لب و کام یا سایر ساختمانهای صورت البته با شیوع کمتر می باشد. لذا ارتودنسی شکاف لب و کام یکی از مباحث مطرح برای دکتر ارتودنسی می باشد. شکاف ها در طی مرحله چهارم تکامل ایجاد میشود و محل شکاف ها دقیقاً محل درز ها می باشد که باید به هم جوش بخورند ولی گاهی چنین نمی شود. این عدم جوش خوردن به دلیل بروز اختلال در مراحل تکاملی در دوران جنینی میباشد. شکاف لب به دلیل عدم اتصال زواید میانی بینی و کناری بینی ایجاد می شود، این اتصال معمولا در انسان در طی شش هفتگی زندگی جنینی ایجاد میشود.

ارتودنسی شکاف لب و کام | دکتر فرهاد صدرالدینی
در این سایت جذاب ترین مقالات در مورد ارتودنسی و دندانپزشکی را با جستجو در بخش مقالات خواهید یافت پیشنهاد ما به شما مطالعه در این بخش است. به طور حتم بسیار برایتان مهیج خواهد بود.
در عوض شکاف لب در طرف کناری به صورت یک طرفه یا دوطرفه تشکیل می گردد از آنجایی که محل اتصال زواید میانی بینی و کناری بینی در طی تشکیل کام اولیه نه تنها لب بلکه ناحیه ای از قوس استخوانی احاطه کننده دندان ها که حاوی دندان های پیش فک بالا می باشد را نیز در بر میگیرد، محتمل است که به همراه شکاف لب یک گودی در قوس استخوانی احاطه کننده دندان ها نیز وجود داشته باشد، حتی اگر شکاف کام ثانویه به وجود نیامده باشد بسته شدن کام ثانویه که با بلند شدن از زوائد کامی و دو هفته بعد از بسته شدن کامل اولیه انجام میگیرد نشان میدهد که اگر عامل ایجادکننده شکاف لب باقی بماند شکاف کام نیز ایجاد خواهد شد. حدود ۶۰ درصد کودکان دارای شکاف لب، شکاف کام نیز دارند. اگر تنها شکاف کام وجود داشته باشد نشان میدهد که عامل ایجاد کننده بعد از جوش خوردن لب وارد عمل شده است. بسته شدن ناقص کام ثانویه سبب ایجاد شکاف در انتهای خلفی آن میگردد و نشان میدهد که عامل ایجادکننده شکاف خیلی دیر وارد عمل شده است. به عنوان مثال هم اکنون معلوم گشته است که کشیدن سیگار توسط مادر عامل عمده ای در ایجاد شکاف لب و کام می باشد. کمبود اکسیژن ناشی از کشیدن سیگار در این حرکت تداخل ایجاد می کند و باعث ایجاد شکاف لب و کام می شود البته این مشکل به عوامل زیادی می تواند مربوط باشد.
مراحل ارتودنسی شکاف لب وکام
کودکان مبتلا به شکاف معمولا به درمانهای ارتودنسی شکاف لب و کام پیچیده و طولانی مدت نیاز دارند ممکن است درمان ارتودنسی در هر یک از چهار مرحله زیر صورت گیرد
اول در دوران نوزادی قبل از جراحی ترمیم اولیه لب.
دوم زمان رویش اولین دندانهای دایمی.
سوم زمان از دست دادن آخرین دندان های شیری.
چهارم در حوالی ۲۰ سالگی بعد از تکمیل رشد صورت توأم با جراحی همراه با ارتودنسی

ارتوپدی نوزاد شکاف لب و کام | دکتر فرهاد صدرالدینی
درمان های ارتوپدی نوزاد
فک بالای نوزادان مبتلا به شکاف لب و کام به هنگام تولد تقریبا همیشه دچار انحراف است. در مواردی که شکاف دو طرفه وجود دارد قسمت جلوی لب بالا اغلب به طرف جلو جابه جا می گردد و دو قسمت طرفین لب به طرف هم فشرده میشوند. در نوزادی که شکاف یک طرفه است میزان این چرخش خفیف تر است اگر میزان چرخش قوس فکی خیلی شدید باشد بستن لب به طریقه جراحی که معمولا در هفته های اول زندگی انجام می شود می تواند کار بسیار مشکلی باشد. برای اینکه بتوان عمل جراحی را بهتر و راحتتر انجام داد ممکن است لازم باشد قسمت جلویی لب بالایی بیرون زده به محل صحیح خود برگشت داده شود این درمان را ارتوپدی نوزاد می نامند که یکی از موارد ارتودنسی شکاف لب و کام است. ارتوپدی نوزادان اول بار در اواخر سال ۱۹۵۰ و سپس در سال های ۱۹۶۰ در بسیاری از مراکز شکاف کام انجام شد در کودکی که شکاف دو طرف دارد ممکن است دو نوع حرکت در بخشهای مختلف فک بالا لازم باشد. از یک نوار چسب می توان برای اصلاح بیرون زدگی بخش قدامی لب در کودکان دارای شکاف لب و کام استفاده کرد. معمولاً جراحی زیبایی لب توسط فوق تخصص جراحی پلاستیک در چند ماه اول انجام خواهد شد. بعد از جراحی لب به مدت چند هفته از یک پلاک ارتودنسی متحرک شبیه نگهدارنده ارتودنسی استفاده می شود. حتی در کودکانی که شکاف های خفیف تر یک طرفه دارند به هم ریختگی قوس فکی کمتر می باشد. اگر پس از جراحی لب پلاک ارتودنسی متحرک گذاشته شود به دلیل اثربخشی فشار لب بهبودی در فرم قوس دندانی دیده میشود. در این کودکان می تواند پلاک مذکور قبل از جراحی لب گذاشته شده و تا سه ماه بعد از جراحی از آن استفاده شود. این پلاک به عنوان یک کمک برای تغذیه کودک عمل نموده و کمک می کند که نوزاد به صورت طبیعی تری عمل بلع انجام دهد اگر لازم باشد میتوان از این پلاک در تمام طول سال اول زندگی استفاده نمود. پس از سی سال تجربه بر روی درمان های ارتوپدی نوزادان قبل از جراحی زیبایی لب، هم اکنون مشخص شده است که اینگونه درمان ها و اثر درازمدت کمتری نسبت به آنچه تصور میشد دارند. به همین جهت هم اکنون این روش به فراوانی سابق استفاده نمی شود. در درمان ارتوپدی نوزاد و قبل از جراحی لب خیلی زود قیافه کودک نسبت به آنهایی که این درمان برایشان انجام نشده است بهتر میشود. درمان ارتوپدی نوزادان به عنوان بخشی از ارتودنسی شکاف لب و کام برای برگرداندن دو بخش فک بالا به محل اولیه خود، قبل از جراحی لب لازم و مفید است. در حال حاضر در اکثر موارد برای این کار دیگر از متخصص ارتودنسی کمک گرفته نمیشود بلکه در صورت بیرون زده بودن زیاد لب بالا درمان جراحی زیبایی لب به صورت دو مرحله انجام می شود. ابتدا یک تماس اولیه در لب به صورت نسبی ایجاد می شود تا نیرویی از طریق خود لب برای عقب بردن بخش قدامی لب اعمال شود، سپس در مرحله بعدی لب به طور کامل ترمیم می گردد پس برخلاف گذشته که درمانهای ارتوپدی قبل از جراحی لب تقریبا برای تمام کودکان مبتلا به شکاف لب و کام توصیه میشد در حال حاضر این کار تنها برای عده کمی از آنها توصیه می شود.

پیوند استخوان ارتودنسی شکاف لب و کام | دکتر فرهاد صدرالدینی
درمان ارتودنسی با رویش اولین دندان های دائمی
با شروع رویش دندانهای دائمی بسیاری از مشکلات ارتودنسی کودکان مبتلا به شکاف لب و کام از خود شکاف نیست بلکه از اثرات ناشی از ترمیم جراحی می باشد. گرچه تکنیک های جراحی شکاف لب و کام در سال های اخیر تحول چشمگیری پیدا کرده اند ولی دوختن لب در قسمت قدامی و بستن شکاف کام در قسمت خلفی فک بالا که در حدود دو سال انجام می شود مقدار کمی انقباض ایجاد میکند و در نتیجه در این کودکانی که جراحی لب یا کام شده اند در مقایسه با کودکان مشابه که جراحی نشده اند تمایل بیشتری برای پیدایش تنگی قدامی و خلفی یا عرضی وجود دارد. این تفاوت به این معنا نیست که از این پس برای این کودکان دیگر جراحی ترمیم لب و کام انجام نشود چرا که به هر حال این بیماران از نظر زیبایی و عملکرد دهان و دندان به آن نیاز دارند، بلکه منظور این است که درمان ارتودنسی شکاف لب و کام بعدی می بایست به عنوان یک ضرورت در این بیماران در نظر گرفته شود. اغلب تا قبل از رویش دندان های جلویی دائمی درمان ارتودنسی ضرورتی ندارد، ولی پس از آن معمولا ضرورت مییابد. هنگامی که دندان های جلویی دائمی رویش میکنند، تمایل شدیدی دارند که بچرخند. بهترین طریقه درمان این مشکل معمولا استفاده از پلاک متحرک می باشد. متخصص ارتودنسی باید انتظار عود داخل قرار گرفتن دندان های جلو فک بالا را داشته باشد زیرا به تدریج فک پایین به رشد خود ادامه میدهد اما فک بالا به دلیل جراحی های به عمل آمده و نقایص بدو تولد نمی تواند خود را با آن وفق دهد. گرچه پیوند استخوان نگهدانده دندان ها در دوران نوزادی به نظر نامطلوب می آید و تجویز نمی گردد ولی قرار دادن بافت استخوانی در ناحیه شکاف قوس دندانی قبل از رویش بخشهای دائمی فک بالا، اگر این دندانها موجود باشند یا در ناحیه نیش های دائمی، مفید میباشد. این عمل ناحیه شکاف را تثبیت میکند و محیط سالم برای رویش دندان های دائمی ایجاد می شود. ایدهآل این است که از لترال های دائمی یا نیش ها از درون استخوان پیوندی رویش کنند. اگر چنین چیزی را انتظار داشته باشیم باید گفت بین ۷ تا ۱۰ سالگی پیوند استخوان گذاشته شود. قبل از گذاشتن پیوند لازم است اعمالی مثل ردیف کردن دندان های جلویی فک بالا یا گسترش ناحیه کام انجام شده باشد این اعمال در حال حاضر جزء کارهای روتین ارتودنسی شکاف لب و کام می باشند.

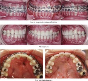
ارتودنسی ثابت شکاف لب و کام | دکتر فرهاد صدرالدینی
درمان ارتودنسی با افتادن آخرین دندان های شیری
درمان در اواخر زمان دندانی شیری، همزمان با رویش دندانهای نیش و کرسی های کوچک و تنگی کام، مشکلات دندانی ایجاد می کند و احتمال میرود که دندان ها به صورت نامنظم رویش کنند هر چه جراحی موفق تر باشد مشکلات کمتر خواهد بود، ولی با همه اینها تقریباً در تمامی موارد در این مرحله لازم است از ارتودنسی ثابت استفاده شود با توجه به تدابیر درمانی که در حال حاضر برای این بیماران انجام میشود (از جمله قرار داد پیوند استخوان در ناحیه شکاف قوس دندانی) این امکان وجود دارد که فضای ناشی از دندان های غایب با ارتودنسی بسته شود و در حال حاضر یکی از اهداف عمده این مرحله درمان ارتودنسی شکاف لب و کام همین است. اگر امکان بستن فضا موجود نباشد باید فضا برای دندان مصنوعی آماده گردد در این موارد می توان به طور موقت از یک دندان مصنوعی که با رزین چسبانده شده باشد استفاده نمود. درمان ارتودنسی معمولا در سن ۱۴ سالگی تمام می شود ولی در بسیاری از موارد تا سن هفده یا هجده سالگی نمیتوان دندان مصنوعی ثابت دائمی قرارداد که حفظ این فضا توسط یک دندان مصنوعی ثابت موقت بهتر از به کارگیری پلاک متحرک است.
ارتودنسی همراه جراحی فک
در بعضی بیماران دارای شکاف لب و کام، ادامه رشد بعد از اتمام درمان ارتودنسی، منجر به ظهور مجدد مشکلات میگردد. این پدیده عمدتاً به دلیل عدم رشد مناسب فک بالا می باشد البته با بهبود روش های جراحی شکاف لب و کام اخیراً میزان وقوع آنها نسبت به گذشته کمتر می باشد و به عنوان آخرین عمل درمانی برای این بیماران شاید ارتودنسی به همراه جراحی لازم باشد که فک بالا به کمک جراحی به طرف پایین و جلو منتقل شود که این عمل در صورت ضرورت معمولا در سن ۱۸ سالگی انجام می شود. گاهی ممکن است لازم باشد فک پایین به کمک جراحی عقب برده شود بعد از این مرحله دندان مصنوعی ثابت برای جایگزینی دندان های غایب می تواند انجام شود.